Home   -   Gallery   Geology   Music   Software   Hiking   Links   Sport   What?  
Thesis   Paleontology   Balkan   Mineralogy   Harz   Steno  
1   10   20   30   40   50   60   70   80   90   Anh   A   B   C   D   E   F  
31   32   33   34   35   36   37   38   39  
Page 88 of 401
 <   > 
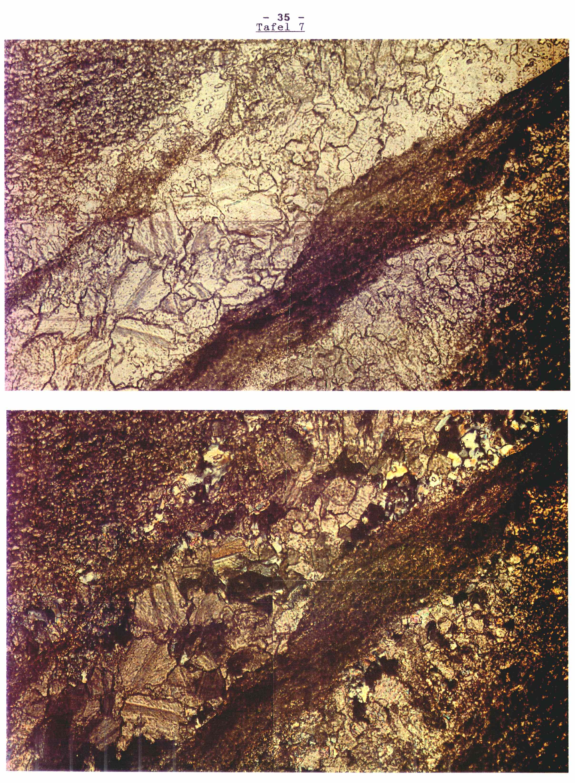
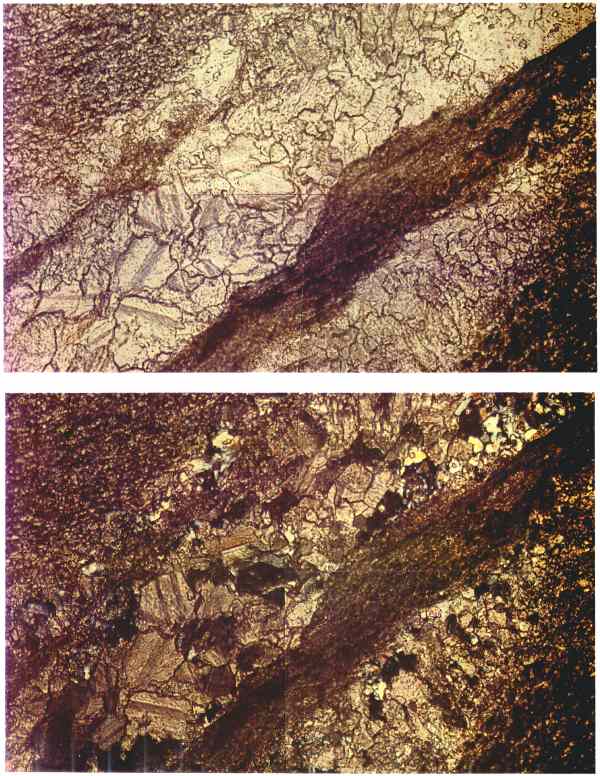
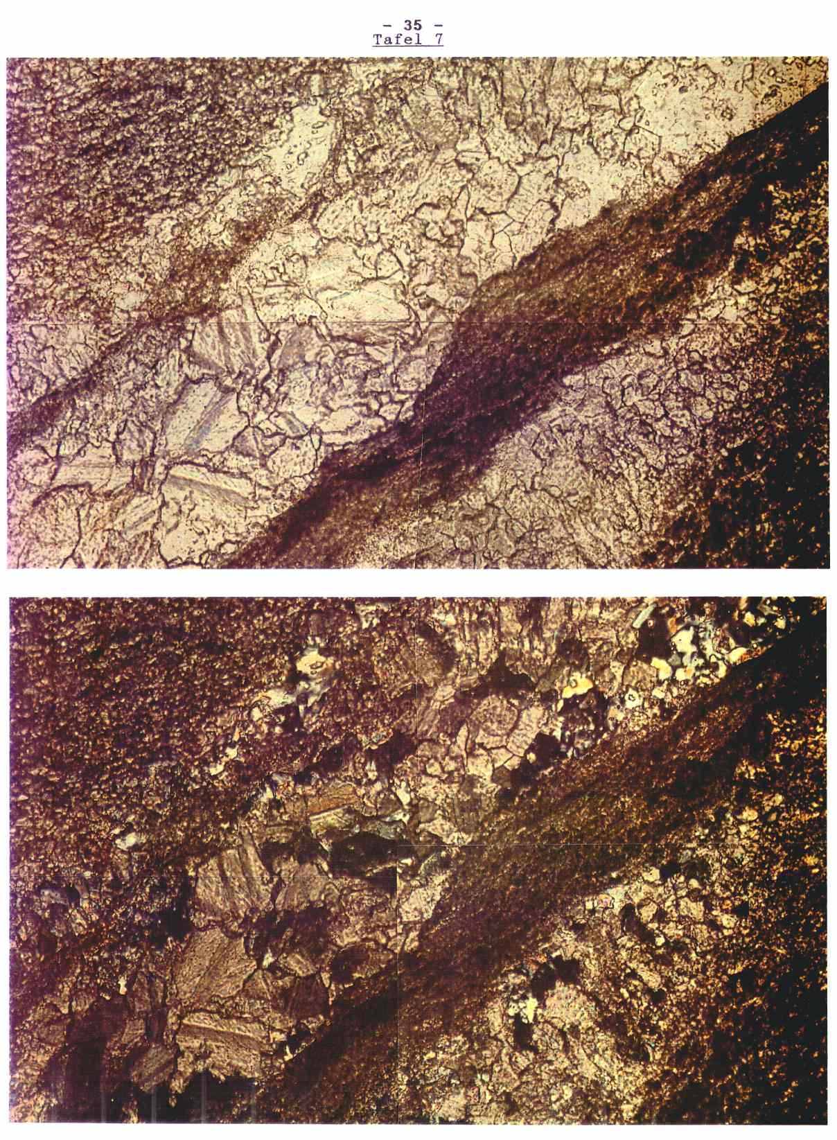
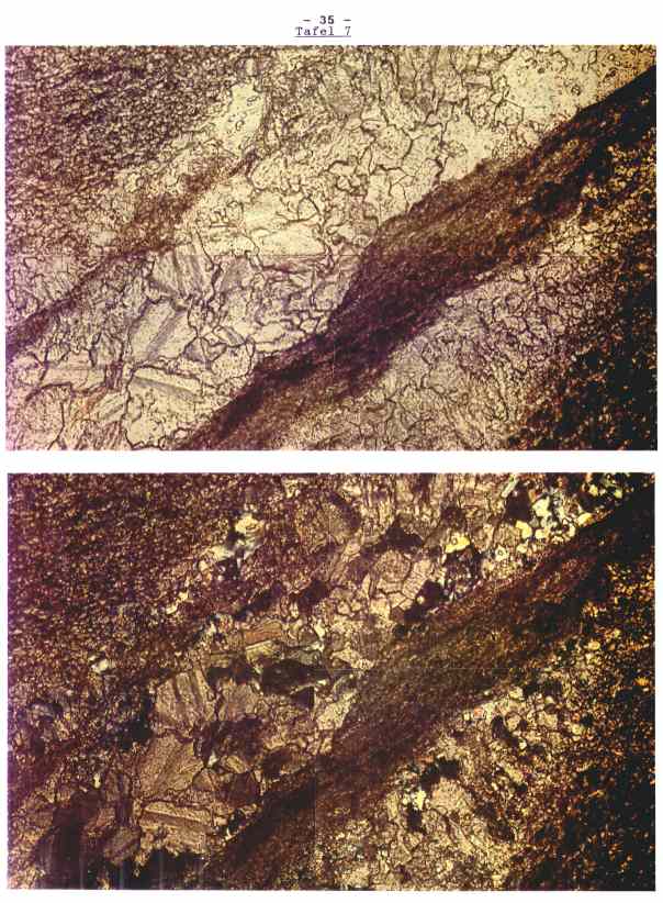
                             - 35 -                             

                            Tafel 7
                             - 35 -                             

                            Plate 7

Plate 7

 

See scan version   normal   large   xlarge

.